

防疫宅在家 足膜敷整晚變灼傷
最近因為COVID-19(武漢肺炎)疫情膠著,許多民眾減少外出行程,為了排解心情或者打…

最近因為COVID-19(武漢肺炎)疫情膠著,許多民眾減少外出行程,為了排解心情或者打…

因應嚴重特殊傳染性肺炎(又稱為武漢肺炎),民眾為了做好防疫措施,人人都提高警覺…

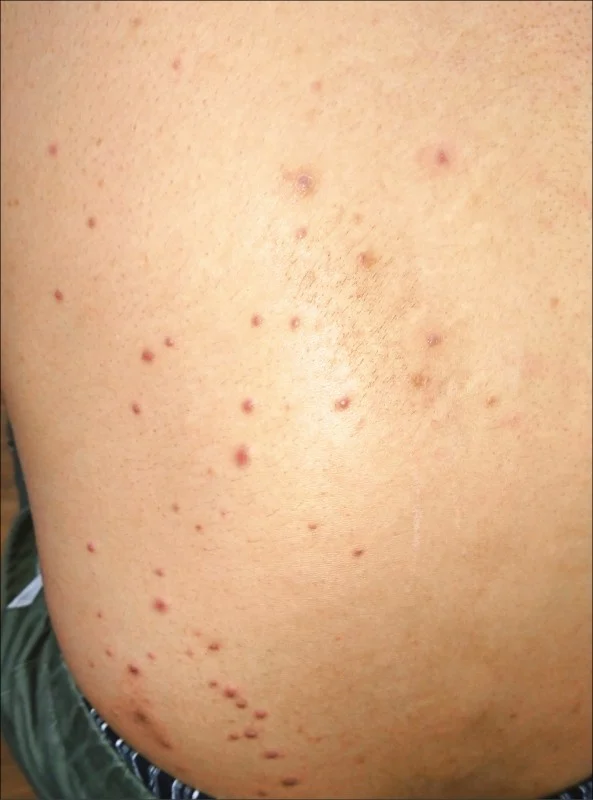
日前一名年約30歲男性就醫時表示,皮膚搔癢都會抓到破皮,還長一顆一顆的東西,晚上…

日前一位正在哺乳期的年輕媽媽,帶著她剛滿月不久的寶寶來求診。原來她的單側胸口出…

一名20多歲年輕男性是異位性皮膚炎患者,原本病情已穩定控制,但他想要多賺點外快,…